ŞemdinliHaber

Hapşırığını tutmaya çalışınca boğazı yırtıldı

Sağlık

İngiltere'de hapşırığını tutmaya çalışan bir kişinin boğazındaki yumuşak doku yırtıldı.

İngiltere’nin Leicester kentinde, 34 yaşındaki bir kişinin boğazında ağzını ve burnunu kapatıp hapşırığını tutunca yırtık oluştu. Hapşırığın tutulmaya çalışılmaması uyarısında bulunan doktorlar, basıncın dışarı çıkamaması nedeniyle boğazdaki yumuşak dokuyu yırttığını belirtti.


BMJ Case Reports adlı bilimsel dergide yer alan uyarıda, hapşırık tutmanın kulaklara da zarar verebileceği, hatta beyin kanamasına yol açabileceği vurgulandı. Boğazı yırtılan hastanın önce boynunda bir “patlama” hissettiği, hemen sonrasında da boğazında ağrı, yutma ve konuşma zorluğu yaşadığı kaydedildi. Muayene sonucu, boyun ve boğazında şişme olduğu görüldü.

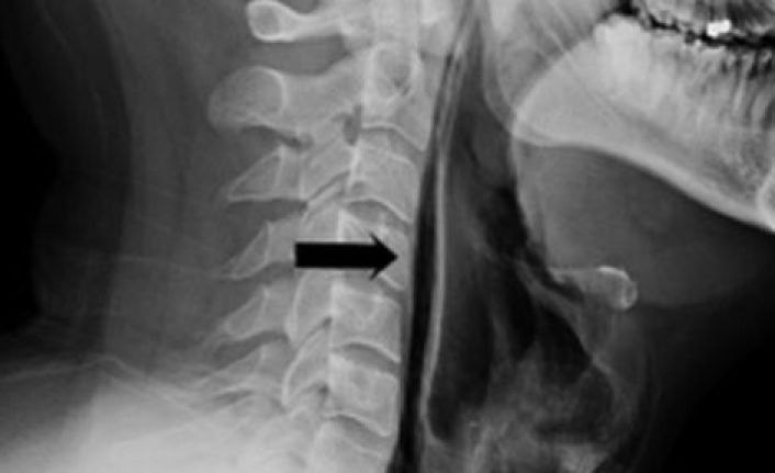
Çekilen röntgen sonucu, nefes borusundan kaçan havanın boğazındaki yumuşak doku ve boyuna gittiği anlaşıldı. Hasta, dokular iyileşene dek yedi gün boyunca bir tüple beslenmek zorunda kaldı ve daha sonra taburcu edildi. Hastanın tedavi edildiği Leiceste’daki hastanenin Kulak Burun Boğaz bölümündeki doktorlar ise, “Burun ve ağzı kapatarak hapşırığı durdurmak tehlikeli bir şey ve kesinlikle yapılmamalı” diyor. (BBC Türkçe)

Sitemizden en iyi şekilde faydalanmanız için çerezler kullanılmaktadır.